エコーでは、身体の様子を
より詳しく観ることができます。
より詳しく観ることができます。
超音波画像診断はエコーとも呼ばれており、機械の発する音波の反射をコンピューターが読み込んで画像化するもので、身体の中の様子を観察することが出来ます。
エコーを受ける方によくある症状
-
ケガの発生時に
体内で起きている状態
-
ケガの経過観察をして回復度合いを図る
-
軽微な損傷で表面上に現れない損傷の確認
-
レントゲンに写らない筋と靭帯
その他組織の
損傷確認
そもそもエコーではどんなことをするの?
まずは超音波画像診断(エコー)の基本的な部分についてご紹介していきます。
【超音波とは】
人間が聴くことのできる音は20Hz~20000Hzと言われています。
この20000Hzを超え、人間の耳が聴くことのできない高周波数の音を超音波と呼びます。
人間よりもはるかに高い音を聴きとれるイルカやコウモリなどは超音波を使って周りの環境を知ったり、仲間とコミュニケーションをとることができます。
私たちの生活の中でも様々な場面で利用されていて、医療分野では身体の中を検査する超音波診断装置などに利用されています。
●超音波って身体に害はないの?
超音波というと少し怖くて、身体に害が無いか不安に思う人もいるかもしれません。
通常の人間が聴くことのできる音でも音量が大きすぎれば鼓膜がダメージを受けるように、確かに超音波は必ずしも身体に無害ではありません。
しかし診断装置として使われる超音波は、人体に対して安全である出力の範囲でしか使われないため、人体に害を及ぼすことはありません。
レントゲンと違ってお腹にいる赤ちゃんの診断に超音波が使われるのも、人体への悪影響がほとんどないと考えられているからです。
●超音波診断装置とは
超音波診断装置とは、その名の通り超音波を使って診断を行う装置です。
身体に超音波を照射し、身体の組織から反射(エコー)してきたものを画像として表示することで、身体の断面画像を得ることができます。
●エコーはどんな時に使うの?
最新の超音波診断装置では、身体の断面を表示することはもちろん、骨・筋肉・腱などの組織を観察する際にも利用されます。
肝臓や腎臓などの主に腹部の器官の検査や、妊婦さんの胎児検診に利用されています。
また、動きのある映像で検査ができるため、心臓など動いている器官の検査にも使われることがあります。
他には、血液の流れ方を観察することで体内のしこりの硬さを調べるなど、より詳しい検査が行えるように進化してきています。
エコーでは、診断の妨げになるノイズを除去して見やすくしたり、組織の境界をはっきり表示することで観察を簡単にしたり、高画質のままズームして確認することができます。
正確な検査を、スピーディーに行うことが可能。
これによって、装置を使う施術者だけでなく、エコーを受ける方々の負担も減らすことができるようになっています。
ようが整骨院の【超音波画像診断(エコー)】
超音波(エコー)装置を使用して体内の状態を観察いたします。
術者の経験と知識を組み合わせることでより正確な診断を行うことが可能です。
整骨院ではレントゲンの撮影はできませんが、エコーを使用することにより体内の状態をリアルタイムで観察できます。
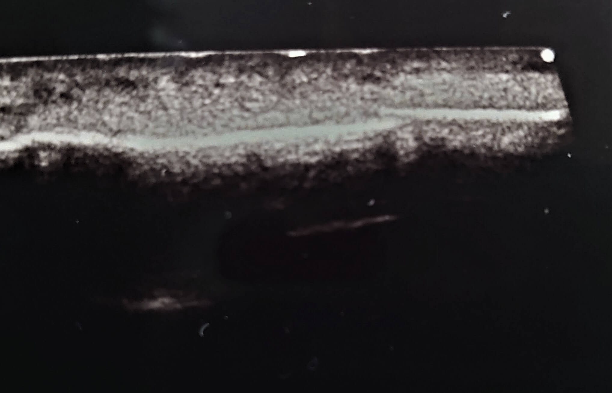
実際のエコー写真になります。
よくある質問 FAQ
-
- エコーで何が見えますか?
- レントゲンで見ることができない~筋肉、靭帯、血管等の組織の観察を行えます。
-
- エコーとレントゲンは違う?
- レントゲンは体に有害なX線を照射しますが、エコーは無害な音波を当てるだけです。
-
- 超音波の写真はどうやってみますか?
- 基本的にはパソコンやモニターを利用してみていきます。
著者 Writer

- 院長:平田 大三
- 生年月日:1973年7月4日
資格:柔道整復師
趣味:ゴルフ・釣り・料理・バイク
症状からメニューを選ぶ Select Menu
-
もっと見る
-
もっと見る
-
もっと見る
-
もっと見る
-
もっと見る
-
もっと見る
-
もっと見る
-
もっと見る
-
もっと見る
-
もっと見る
当院おすすめメニュー Recommend Menu
当院のご紹介 About us



